Skip to main content

Volumetric MRI

Brain volume
& atrophy quantification

T1W Volumetric

We are a recognised leader in the field of volumetric MRI analysis.

Changes in brain volume, or atrophy, are among the most established effects of many neurodegenerative diseases. IXICO have been providing volumetric analysis for late-phase trials for our partners for more than 12 years, measuring brain volume both cross-sectionally and longitudinally using our LEAP (Learning Embeddings for Atlas Propagation) pipeline, which provides the following measures:

  • Global – making measurements on the whole brain
  • Regional – measuring specific local brain regions

IXICO also cover a range of volumetric solutions, including Freesurfer, MIDAS BSI and synthSEG.

IXICO's proprietary deep-learning platform, IXI™ can provide highly accurate automated segmentations of the caudate, putamen, thalamus, whole brain and lateral ventricles. For the caudate, whole brain and ventricles, the IXI™ Platform’s segmentations are then combined with an updated version of the Boundary Shift Integral (BSI) algorithm, the generalised BSI (gBSI; Prados et al. 2015).

Since IXI™ was released, IXICO have used the gBSI pipeline in a number of our clinical trials, and it has also been used for the volumetric analyses of the HD-IH consortium study. gBSI is a modern solution for the original MIDAS-BSI with comparable sensitivity but more efficient and cost-effective to run.

In addition to volumetric endpoints, IXICO also provide cortical thickness measures from Freesurfer.

White Matter Hyperintensities
(WMH)

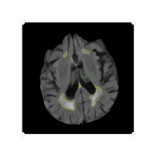
White Matter Hyperintensities (WMH)

IXICO's automated analysis accurately quantifies the volume of WMH.

The identification of WMH is highly relevant to a dementia diagnosis, and is a criterion for the exclusion of subjects participating in a clinical trial, as well as a measure of treatment efficacy. IXICO provide a visual read to screen subjects with severe vascular pathology. IXICO can accurately quantify the volume of WMH using IXICO's automated methods, assessing a subject’s 3D T1W and FLAIR MR images.

IXICO's analysis delivers the volume of white matter, the volumes of hyperintense lesions, and the percentage of white matter hyperintensity. It can be applied to five regions of interest:

  • Whole white matter
  • Juxtaventricular
  • Periventricular
  • Deep white matter
  • Juxtacortical

IXICO's method uses tissue classification and hyperintensity belief maps that are iteratively grown by analysing neighbouring voxels, and provides improved robustness to discriminate subjects with significant white matter pathology, with good correlation with Fazekas scoring and manual volumetry.